
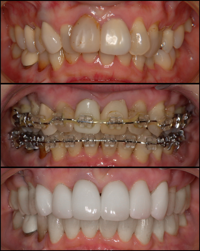
今回は、50代女性の矯正治療と被せ物(ジルコニア)治療の症例紹介です。
矯正治療に加え、上の前歯の被せ物のやりかえがご希望でした。
保険の被せ物や詰め物が所々入っており、経年劣化による色の変化も起こっている状態でした。
まず矯正治療で歯列と噛み合わせを整え、矯正治療後上の前歯のやりかえを行いました。
上の前歯は、笑った時の唇から見える歯の位置や目から歯の先端までの距離、鼻との距離を細かく見ながら形態を決め、左右対称で作り込みすぎない自然な笑顔になるように仕上げています。
一部ラミネートベニアを装着していますが、ラミネートベニアも強度が高く長期の安定性が高いジルコニアでお作りしています。
肌の色味に馴染む自然な白さをご提案し、色味を決定しています。
矯正治療と被せ物の組み合わせ治療では、歯列だけでなく、口角の上がり方、唇の左右バランス、笑ったときの印象、エラの張り方やその左右差まで、自然に美しく変化しています。
「被せ物だけでは不自然になりそう」「矯正だけでは色や形が気になる」
そんなお悩みこそ、組み合わせ治療が選択肢になります。
患者さんのお掃除の頑張りはもちろん維持しやすい設計にしているので、装着して半年たっても綺麗な歯ぐきを維持しています。
相談時に気になる部分や来院可能な頻度を詳しくお伺いしたうえで、その患者様にとって最善・最短の治療方法にて治療をしております。
ささいなことでもぜひお気軽にご相談ください。
今回の治療
【治療内容】
・上下のワイヤー矯正
・前歯の被せ物治療
【治療期間、通院回数目安】
治療期間2年半、通院月1回程度
【副作用、リスク】
知覚過敏、咬合痛、歯肉退縮、歯髄壊死、歯髄充血
【費用】
・矯正治療費
880,000円(税込)
・前歯の被せ物治療費(上の前歯6本分)
88,000円×6本
※自費治療となります
※別途、検査料が発生します
矯正治療のメリット
・笑顔、横顔の印象が上品に整う
・噛み合わせが良くなり食事がしやすい
・将来的に歯や歯ぐきが守られやすくなる
・コンプレックスが軽くなり気持ちが前向きに🪞✨
矯正治療のデメリット
・ワイヤー期間は磨きにくくなる
・治療中に違和感や痛みが出ることがある
・歯根吸収、歯髄壊死、ブラックトライアングル
・動きには個人差がある(途中で計画調整を行います)




